Research and Funding

Role of Follistatin Like Protein 1 (FSTL-1) in cardiac inflammation

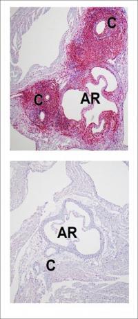
Expression of FSTL-1 in mouse cardiac tissue during Kawasaki like inflammation. Localization of FSTL1 RNA expression in KD mouse model (top), and in normal control (bottom). (AR=aortic root; C=coronary artery.) 

Using our murine model of Kawasaki disease, we are studying how the enigmatic protein FSTL-1 may impact inflammation and immune response in Kawasaki disease. This protein plays a key role in the function of the heart in a variety of disease states and normal health, and is highly upregulated during cardiac inflammation.

We are in the closing phases of describing how FSTL-1 impacts this immune function and beginning to open up very intriguing new directions of study in regards to the role of FSTL-1 in immunity and inflammation.  

This project is currently supported by the National Institutes of Health, K08 funding mechanism, and the American Academy of Allergy, Asthma and Immunology.  

Fibroblast STAT3 expression may impact phenotype of disease in Autosomal Dominant Hyper IgE Syndrome (ADHIES)

Patients with ADHIES suffer from immune dysregulation leading to susceptibility to pulmonary infections, and subsequent development of anatomic complications in the form of pneumatoceles, which are large air filled sacs that form in the lung as a result of prior infection. These pneumatoceles then become sites where opportunistic organisms, such as fungal infections, can occur, and lead to life long morbidity for these patients. Based on data obtained in our lab, we hypothesize that fibroblast dysfunction may be the etiology of pneumatoceles. This study is being conducted in collaboration with the Prince Lab, a world leader in pulmonary infection, and is funded by the Job Research Foundation. 

Additional projects

In collaboration with highly regarded investigators in the department of biomedical engineering at Columbia, we are exploring tissue engineered cardiac and synovial models to study Kawasaki disease and inflammatory arthritis.  

Specifically, Gordana Vunjak Novakovic will be assisting the Gorelik Lab in creating a tissue engineered model of the heart to study both Kawasaki disease and multisystem inflammatory syndrome (MIS-C); this model will allow a detailed evaluation of pathophysiology of these disease processes. 

In addition, a collaboration with Clark Hung, who has developed a tissue engineered model of synovial tissue, promises to allow study of inflammatory arthritis. We also have special access to a patient population with a extremely rare syndrome known as campylodactyly arthropathy coxa vara pericarditis (CACP), in which a mutation in the protein Lubricin results in a severe osteoarthritis like early onset arthritis, which we are planning to develop as a model to understand synovitis.

Back to top